エコー検査で判断する粉瘤腫の治療
粉瘤腫(ふんりゅうしゅ、アテローマ)は、
下図のように開口部から皮下に広がる袋状の腫瘍です。

診断と治療は簡単そうですが、結構奥が深いんです
粉瘤腫を肉眼所見のみに頼って手術を開始するのは危険です。
最近も、他院で手術予定だった患者さんが、
エコー検査(以下エコー)で嚢腫性ざ瘡(にきびの一種)だったことがありました
これ、よく間違われるんですよねー
よってエコー(下写真)は必須でしょう。

検査所見の詳細は、過去のブログを参照してください:粉瘤腫の超音波検査
上写真の患者さんのような癒着のない綺麗な袋(嚢腫)なら、
くり抜き(へそ抜き)術で簡単に手術ができます(下写真)。
この方法は、開口部をφ3-4mmに広げて、そこから中の袋を押し出す手術です(下写真 a-c)。
手術痕も、にきび痕程度のものにできます(下写真 d)
この写真 dの傷も、1年もするとさらに小さくなってほとんど分からなくなります

(皮膚科基本手技・小手術ハンドブックより引用)
しかし、すぐに切除できない場合もあります
下写真のケースでは、下部に少し赤い所(→)がありますね。
エコーで見ると袋が大きく破れていました(点線部分)

こうなると、くり抜き術は難しい。
大きく切除することは可能ですが、大きな傷が残ります。
女性の首ですからね。
こういった場合は、小さく切開して中身を出してから、
後日切除する方が、小さな傷口で済みます
その時は、開口部(→)で切開することが肝要です。
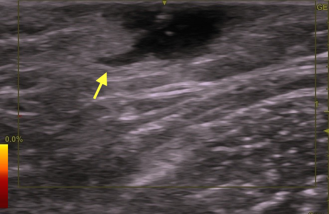
下写真のケースの場合は、矢印の所が開口部です。
右写真のエコーで確認できます(→)。その下に本体がいます。

よく分かっていない医師だと、結構赤く腫れているところを切っちゃうんですよね
そうすると後で手術が面倒になります。
さらに、粉瘤腫だと思ってエコーをしたら肉腫(ガンの一種)だったことが何度かありました

だから粉瘤腫だと思っても、結構侮れないのですよ
粉瘤腫かなぁ?と思ったら受診してください。
エコーを使って的確に診断し、適切な治療を選択をします
(院長)
*しばらく講演もないので、こういったcommon diseaseのお話をして行くつもりです。
*本文の手術写真は、私の師匠の立花隆夫先生の手技です。













