皮膚癌(ひふがん)の早期発見
























先週、30才代の方の黒子(ほくろ)の手術(切除術)をしました。


毎週水曜日は、一般診療は休診ですが、レーザー治療
や大きな手術を予約で行っています。
昨日は、午前中にレセプトを済ませ、午後から皮膚癌(がん)の手術を行いました。
これが、その方の初診時の写真です。おでこの5mm程度の色素斑です。普通の方には、シミかほくろにしか見えませんよね![]()

腫瘍辺縁に、楓の葉っぱ様(maple leaf-like)と表現される所見(→)がみられます。基底細胞癌(がん)によく見られる所見です![]()

やはり基底細胞癌(がん)(→:表在型)でした。
ダーモスコピー(痛みのない数分の検査)のお陰で、皮膚癌(がん)の診断が簡単にできるようになりました![]()

この患者さんは、ほくろと勘違いして簡単に取ってもらうつもりで来られたようです![]()
どこかで安易に切除されていたら大変なことになっていたかもしれません![]()
ほくろやシミの治療の前には、皮膚科専門医に相談されることをおすすめします![]()
(院長)
*ダーモスコピーの写真をよくみると腫瘍周辺(周囲1〜2mm)の皮膚の状態(texture)がすこしおかしいですね。ここにも(subclinicalに)癌がいると思われます。切除範囲は、発症部位や組織型なども考慮して決めました![]()
*ダーモスコピー所見は、他にもCrystallineやWhite shiny clodsと思われる所見が見えています。わかります?
*昨年の11月受診時の術創(→)の写真です。おでこのシワを利用して縫っています。キズ、ほとんどわからないでしょう![]()
当院は、イボ(いぼ)治療に力を入れており色々な治療を行っています。では、その中で最もオーソドックスな治療法を紹介いたしましょう![]()
当院のイボ(いぼ)治療の主役は、スプレー式のCryoProです。世界的にはスプレー式が主流です。

スプレー式は、液体窒素を綿棒でつけるのではなく吹き付けるタイプですね
衛生的で強力です![]()
YouTube: Liquid nitrogen for wart.
液体窒素がイボ(いぼ)に効果的に作用するためには、治療前にしっかりと角質を除去しておくことが大切です。 角質は熱伝導が悪く、液体窒素療法の最大の障害になるからです
また、角質を除去するとダーモスコピーにて治療状況がよくわかります。
では、本日受診されたイボの患者さんで治療内容を紹介しましょう![]()
下写真の点線の囲いは、かかとのイボ(いぼ)の角質を除去したところです。じっくり5分以上かけて除去しました![]()

当院では、ダーモスコピーで治療状況を患者さんにお見せしています
これは、上写真の→の囲い部分のダーモスコピー所見です。下写真の*の部分の指紋が不明瞭ですね。まだイボ(いぼ)が残っているようです
イボ(いぼ)がいると指紋が歪んだり、不明瞭になったりします。

この時点で、iPhone用のダーモスコピー(下写真右側)は非常に重宝します。数秒の操作でiPadに画像を転送できるため患者さんに説明するのに便利ですね
前の画像と比べて改善度を示すこともできます![]()

画像でイボ(いぼ)の治り具合が見れるため、患者さんのモチベーションもあがりますね
それに、ここまで精密にするためイボ(いぼ)の取り残しががほとんどありません![]()
イボ(いぼ)でお困りの方は、是非受診してください
他にも、難治性イボ(いぼ)に対する色々な治療法を準備しています![]()
(院長)
*上のイボ(いぼ)のダーモスコピー所見は治療終了真近の写真ですが、治療開始頃(角質除去後)の所見は下のように見えます。何かの巣の中の卵みたいですね。グロテスクですね〜
イボ(いぼ)のまわりが白色なのは、冷凍療法直後のため。

*ちなみにiPhoneとiPadのコンビは、様々な場面で使っています。下の写真は円形脱毛症の方のです。トリコスコピーですね。脱毛症の方の頭皮の状態を説明するのに使っています。

以前より何度か紹介していたiPhone用ダーモスコピーについて、半年使用後の感想を報告します。
はっきり言って凄いです。当院には他社のダーモスコピー(医療機器の承認を得ている)が2機種ありますが、全く太刀打ちできません。

iPhone用ダーモスコピーの利点は以下のとおり
①カメラ付きなのに小型。
②ゼリー不要
③自動ピント調節で、画面にタッチするだけで撮影できる。
④画像はかなり鮮明で、その場で20倍にまで拡大できる。患者の説明にも便利。
⑤部位、氏名、コメントなどが書き込める。日付は自動で入る。
⑥パソコンにつなぐと自動的にiPhotoに取り込まれる。iPhoneからメールで写真を送信できる。
⑦iPhoneのカメラを使用すると、ダーモスコピーの動画もとれる。動いている疥癬なんかも撮れちゃうんだろうな。
欠点はあまりないのですが、敢えてあげるとすれば、
①医療機器の承認を得ていないので、かならず認可の得ているもので確認が必要。
②タッチ画面の反応が良すぎて、ダーモスコピーを握る手が画面に少しふれただけで『カシャ』と撮影してしまう。これ結構してしまいます![]()
③たまにフリーズする。最近アップデートされてから起こるようになった。
(院長)
昨日は水仙の会(皮膚疾患診断の会)がありました。皮膚超音波検査やダーモスコピーなど皮膚画像診断の勉強会です。
診療が遅くなって、ぎりぎり田中勝先生(東京女子医大東医療センター皮膚科教授)の特別講演には間に合いました
私は、世話人の1人でもあるので出席は必須です。ダーモスコピーの第一人者の講演は、非常にわかりやすく勉強になりました
みんな真剣に勉強していますね![]()

一般の方は、ダーモスコピーとは何のこと?と思われますよね。簡単にいうと、特殊な拡大鏡で病気を診断あるいは推測します。ほくろのガン〜円形脱毛症の診断までいろいろな皮膚病変に使います。しかし診断には、医師にそれを読み取れる能力が必要で、前述のような勉強会を開催しています。
少し画像を紹介します。
下写真は老人性色素斑、指紋のようなfingerprint-like structure (指紋様構造)が見られます。

下写真は、母趾先端のほくろ(色素性母斑)、刷毛ではいたような筋がみえるfibrillar pattern(線維状パターン)が見られます。

iphoneを使って病変をその場で見せれるところが、患者さんに受けています![]()
(院長)
年末に待望のiPhone
用ダーモスコピーが、ドイツからやって来ました
これ、結構凄いですね。恐らく、ほとんどの同業者は知らないでしょうね。この前、大学の忘年会で聞いても誰一人知りませんでした。このブログに注目が集まるかも![]()


アップルストアからソフトを購入します。指先にある赤色のソフトをタッチして開けます。

撮影は自動的にiPhoneがピントを合わせ、画面をタッチするだけで撮影します。かなりきれいに取れますね。

こんな感じで自動的に整理記録されます。絵がでてきて部位も記録できます。



新年早々使ってみようと思います。また使い勝手をレポートしますね![]()
(院長)
*当然これは厚生省の医療機器承認を得ていませんので、認可を得たダーモスコープで確認する必要があります。まぁ、単なるカメラですから危険性はありませんが念のため。
当院には、足うらの黒子(ほくろ)を気にされて多くの患者さんが受診されます。長年の啓蒙活動が功を奏して、足の裏の黒子はやばいということはよく知られるようになりました。
他の皮膚がんと違って、早期より転移しやすいために気づいたときには手遅れになることが多い癌です![]()
早期診断は非常に難しかったんですが、ダーモスコピー(下写真)の出現により早期に癌を見つけて治療できるようになりました
特殊なライトで皮膚表面の乱反射を防ぎ、皮膚の内部を透視する仕組みです。


皮膚悪性腫瘍診療ガイドラインでも推奨度Aで、早期発見に役立つとしています。

虫メガネではないので、のぞけば誰でもわかるものではありません。ある決められたパターンを覚える必要があります。これが結構難しい。皮膚科医でも特殊な訓練をしないとできません。
あるとき、足のかかとの黒子が心配になりある患者さんが受診されました(写真は本人の掲載許可を得ています)。

ダーモスコピーは、fibrillar pattern(褐色部分)の中に、ほんの少し灰白色(→)のところがあります。わかります? わずか1mmの変化です。

精密検査の予約をして帰宅してもらったんですが、患者さんすっかり忘れていて来なかったんですね
何度か呼び出してやっときてもらったときには、既に2ヶ月ほど経過していました。そのときのダーモスコピーがこれです。灰白色部分が拡大して明らかに進行しています![]()

この灰白色の部分は、(blue-)whitish veilとよばれメラノーマに(まれにSpitz母斑にも)特異的に見られます。直ちに入院して手術を行いました。
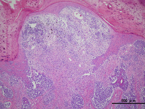
これは病理所見です。立派なメラノーマでした。センチネルリンパ節を含め他臓器に転移は見られず完治しました
あと半年放置していたら、かなりやばかったですね![]()

私の専門の1つは皮膚がんです。開業して大きな手術をすることはなくなりましたが、早期に皮膚がんを発見することこそその使命と考えています。皮膚がんは早期にみつけて治療することが極めて大切です。時に生死を分ちます。気になる黒子があれば受診してください。ダーモスコピーは痛みがなく、数分で終わります
保険適応です。
(院長)
*iPhoneにダーモスコピーがつく商品が開発されたんですね。これほしいなぁ〜![]()
|